Categories Multiple Myeloma

bluebird bio Presents New Results from Clinical Development Program of elivaldogene autotemcel …

bluebird bio Presents New Results from Clinical Development Program of elivaldogene autotemcel … Article content continued About bluebird bio, Inc. bluebird bio is pioneering gene therapy with purpose. From our Cambridge, Mass., headquarters, we’re developing gene therapies for severe genetic diseases and cancer, with the goal that people facing potentially fatal conditions with limited treatment […]

Read More
Categories Multiple Myeloma

Ligand Pharmaceuticals (NASDAQ:LGND) Downgraded by BidaskClub to “Sell”

Ligand Pharmaceuticals (NASDAQ:LGND) Downgraded by BidaskClub to “Sell” Ligand Pharmaceuticals (NASDAQ:LGND) was downgraded by analysts at BidaskClub from a “hold” rating to a “sell” rating in a research report issued to clients and investors on Saturday, BidAskClub reports. Several other brokerages have also recently weighed in on LGND. HC Wainwright reaffirmed a “buy” rating and […]

Read More
Categories Multiple Myeloma

Multiple Myeloma Mnemonic…the story of the plasma cell

Multiple Myeloma Mnemonic…the story of the plasma cell 😍🖼Animated Mnemonics (Picmonic): https://www.picmonic.com/viphookup/medicosis/ – With Picmonic, get your life back by studying less and remembering more. Medical and Nursing students say that Picmonic is the most comprehensive and effective way to bridge learning and test prep… Disclaimer: I use affiliate links…. ►👨‍🏫💊Antibiotics Lectures: https://www.medicosisperfectionalis.com/products/courses/antibiotics/ … Check […]

Read More
Categories Cancer

2020 Cancer Diagnostics Startup Identification Market – 74 Startup Profiles – ResearchAndMarkets …

2020 Cancer Diagnostics Startup Identification Market – 74 Startup Profiles – ResearchAndMarkets … DUBLIN–(BUSINESS WIRE)–The “Cancer Diagnostics Startup Identification” report has been added to ResearchAndMarkets.com’s offering. The World Health Organization estimates that cancer was responsible for the death of about 9.6 million people in 2018 making of it a leading cause of death worldwide. A […]

Read More
Categories Cancer

Promising Data from Phase 1 Trial with ADP-A2AFP in Liver Cancer at the International Liver …

Promising Data from Phase 1 Trial with ADP-A2AFP in Liver Cancer at the International Liver … PHILADELPHIA and OXFORDSHIRE, United Kingdom, Aug. 28, 2020 (GLOBE NEWSWIRE) — Adaptimmune Therapeutics plc (“Adaptimmune”)(Nasdaq: ADAP), a leader in cell therapy to treat cancer, presented data from its Phase 1 trial with SPEAR T-cells targeting AFP at the virtual International […]

Read More
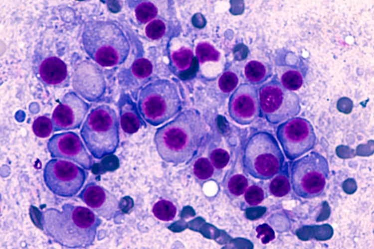
Categories Multiple Myeloma

Blenrep granted CMA for relapsed or refractory multiple myeloma

Blenrep granted CMA for relapsed or refractory multiple myeloma The European Commission granted the conditional marketing authorisation (CMA) based on data from a trial in which Blenrep achieved an overall response rate of 32 percent. Bone marrow aspirate cytology of multiple myeloma, a type of bone marrow cancer of malignant plasma cells, associated with bone […]

Read More